
임플란트 소개


01
네비게이션 임플란트 수술
3,000례 돌파
(일반 임플란트 케이스를 제외한
디지털 임플란트만 집계)
디지털 임플란트의 선두주자가 되겠습니다.
'안전하고, 빠르고, 편안한' 임플란트 수술입니다.

02
네비게이션 가이드 자체 제작
수술을 집도하시는 원장님께서 직접 임플란트 식립
위치를
디자인하셔서 훨씬 더 정확합니다.
원내에서 가이드를 자체제작하여 비용을 절감하고,
빠른
시일내로 제작이 가능하여 시간도 절감시켜드리고 있습니다.

03
고난이도 뼈이식

04
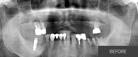
전악(전체) 임플란트
CASE 1


CASE 2



05
치주과 전문의 꼼꼼한 사후관리
임플란트는 내부에 신경이 없기 때문에,
예방적으로 관리를 해야 튼튼하게 오랫동안
유지할 수 있습니다.
‘잇몸뼈와 잇몸(치주조직)’을 전문으로 다루는
치주과 전문의 원장님께서 임플란트의 처음부터
마지막 유지관리까지 도와드리겠습니다.